Со страшной эпидемией непонятного заболевания, передающегося через фрукты и овощи, вроде бы разобрались.19 июня Евросоюз передал на изучение ученым из России образец штамма бактерии E.coli. По их словам , штамм передается от человека к овощам, а потом опять к человеку. Образец ученые будут изучать в Научном центре санитарной службы в городе Оболенске.
Виновником, по некоторым данным, объявили соевые проростки, огурцы и помидоры торжественно реабилитированы, производители овощей скорбно подсчитывают огромные убытки. Казалось бы, всё хорошо — живём и не беспокоимся. Но заразиться опасной для здоровья и жизни инфекцией, к сожалению, можно не только после вегетарианской трапезы.
О пользе и вреде мяса написано много статей, поэтому подробно останавливаться на этом не будем. Споры убеждённых вегетарианцев и мясоедов продолжаются и будут продолжаться, поскольку однозначного мнения по поводу идеального пищевого рациона не существует. Хорошее свежее мясо, на мой взгляд, необходимо есть хотя бы периодически, чтобы организм получил необходимые ему животные белки. Как же выбрать качественное мясо и избежать неприятных последствий после его поедания?
Если вы съели некачественный мясной продукт, уже через 10 — 12 часов вы ощутите первые признаки неблагополучия.
Пищевое отравление начинается с недомогания, затем появляются болезненные ощущения в желудке и кишечнике (боль может иррадиировать (отдавать) в спину). После этого начинаются разнообразные расстройства — диарея (проще говоря — понос), тошнота и рвота, поднимается температура, появляется озноб. В тяжёлых случаях даже после адекватного лечения эти симптомы сохраняются в течение нескольких дней, затем организм восстанавливается. Полное выздоровление возможно лишь через 2 — 3 недели (в некоторых случаях — позже). Если не обратиться к врачу в первые часы развития заболевания, итог может быть печальным.
Специалисты считают, что 95 % пищевых отравлений возникает после употребления в пищу мяса, яиц и рыбы. Дело в том, что с биологической точки зрения животные находятся ближе к нам, чем растения, и многие микроорганизмы у нас «общие». Некоторые патогенные микробы способны существовать только в живых клетках, другие же успешно растут и размножаются в период хранения мяса. Перечислим самые распространённые инфекции, которые можно заполучить, если не соблюдать разумных мер предосторожности при обращении с мясом.
Сальмонеллёз. Тяжёлое заболевание, при отсутствии лечения может закончиться фатально. Возбудитель этой болезни может присутствовать в курином, утином и индюшином мясе, а также яйцах. Первыми симптомами являются диарея и боли в желудке.
Листериоз по симптомам похож на грипп. Бактерия, которая вызывает этот недуг, может присутствовать в мясных полуфабрикатах и даже замороженных продуктах, а также колбасных изделиях. При отсутствии лечения возможны общее заражение крови, поражение мозга. Эта инфекция особенно опасна для беременных.
Универсального лекарства, помогающего справиться с вышеописанными заболеваниями, не существует. Все микроорганизмы постоянно меняются — мутируют. Это естественный процесс, который обуславливает повышение устойчивости микробов к лекарствам и выживаемость самых приспособленных. К счастью, новые антибиотики постоянно появляются на фармацевтическим рынке, поэтому серьёзной опасности эти мутации обычно не представляют. Но в некоторых случаях (как это произошло с кишечной палочкой, обнаруженной на овощах) микробы могут оказаться очень активными и неподдающимися традиционным методам терапии.
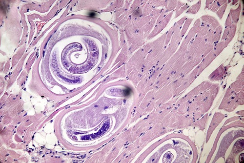
Мясо также может стать причиной развития паразитарного заболевания. Например, непрожаренный шашлык может таить в себе микроскопического круглого червя —
трихинеллу.

Его можно увидеть только под микроскопом, поэтому если даже вы очень внимательно осматриваете мясо во время разделывания, паразитов не обнаружите. Особенно опасна в этом плане свинина, а также дичь. Трихинеллёз проявляется в виде высокой температуры, отёчности лица, мышечных болей. В анализе крови наблюдаются характерные изменения. Трихинеллы устойчивы к термообработке и замораживанию, предотвратить заражение можно только при сильном прожаривании или длительном проваривании мяса. Есть и другие паразиты, которые могут попасть в наш организм с мясными продуктами. Избавиться от этих непрошеных гостей очень сложно, нередко и диагностика связана с определёнными затруднениями.
Откуда же болезнетворные бактерии и паразиты появляются в мясе? Основная причина — несоблюдение гигиенических правил. Плохие условия содержания сельскохозяйственных животных, антисанитария на бойне, несоблюдение низкотемпературного режима во время перевозки и хранения мяса — всё это увеличивает опасность заражения во много раз. Для предотвращения бактериального заражения на мясокомбинатах существуют специальные технологии обработки туш в процессе их разделывания и упаковки.
Правильное хранение мяса также имеет огромное значение. Даже в больших современных магазинах, где каждый продукт должен проходить многократный контроль, нередки случаи обмана покупателей. Несвежее мясо «реанимируют» различными способами, придают ему привлекательный вид, устраняют неприятный запах и выставляют в продажу. А потом хозяйки недоумевают, почему всё семейство переболело тяжёлой кишечной инфекцией, если все продукты были свежими и правильно приготовленными.

Самыми опасными с точки зрения возможности заражения являются всевозможные разновидности
«уличного фастфуда». Например, шаурма, мясо для которой обжаривается на вертикальном гриле. При этом невозможно проконтролировать ни качество прожаривания, ни свежесть каждого кусочка (недобросовестный продавец, например, может подсунуть в стопку нарезанного мяса 2 — 3 испорченных куска, обработанных реактивами против неприятного вкуса и запаха). Кроме того, в летнюю жару даже самое хорошее мясо может быстро «пропасть». Куры-гриль тоже могут выглядеть свежими и аппетитными, но кроме уксуса и пряностей содержать в себе крайне неприятные «биологические добавки».
Итак, как же выбрать «правильное» мясо, которое станет прекрасным обедом или ужином для вашей семьи? Идеальный вариант — найти «своего» мясника на ближайшем к вашему дому базаре. Продавец, который вас знает как постоянного покупателя, постесняется подсунуть вам неудачные куски мяса или «некондиционную» курицу. В остальных случаях только ваша бдительность и знание некоторых особенностей выбора помогут вам избежать отравления.

Начнём с
курицы. Если вы живёте далеко от магазина, отправляйтесь за покупками с сумкой-холодильником или же покупайте замороженную птицу. Обязательно убедитесь в том, что упаковка не повреждена (через отверстие могут проникнуть патогенные микробы). Если под прозрачным покрытием заметны кристаллы льда — значит, курицу уже замораживали и размораживали, и неизвестно, как долго тушка находилась в тепле. Даже глубокое замораживание не может убить всех бактерий. У свежей курочки тушка суховатая, упругая на ощупь. На разрезе мясо и кожа влажные, без запаха. Если вы покупаете курицу на базаре, непременно попросите у продавца ветеринарное свидетельство, обратите внимание на печать и дату выдачи документа. В случае отказа лучше купите продукты у другого предпринимателя.
Говядину, баранину, телятину лучше покупать в охлаждённом виде — после замораживания вкус мяса меняется не в лучшую сторону. Качественное мясо бледно-розовое или светло-красное, с сухой поверхностью (не поленитесь потрогать его рукой). Срез не должен прилипать к пальцам. При нарезке выделяющийся сок непременно прозрачный, без запаха. Лёгкое подсыхание верхнего слоя мяса дефектом не считается. Нажмите на кусок мяса — вы должны почувствовать приятную упругость, а ямка от надавливания у качественного продукта очень быстро разглаживается.

С осторожностью покупайте мясные полуфабрикаты, упакованные в супермаркетах. Очень часто в таких упаковках присутствуют несвежие куски. Ещё опаснее готовые маринованные шашлыки — уксус и специи отбивают неприятный запах и меняют внешний вид мяса, вы просто не сможете определить его свежесть.
Выбрав кусок мяса или тушку курицы, принюхайтесь. От мяса должен исходить чуть заметный свежий запах, вызывающий положительные эмоции. Если запах неприятный, обязательно откажитесь от покупки. Вообще, это правило действует для любого пищевого продукта — при малейших сомнениях в доброкачественности отправляйте сомнительную еду в мусорное ведро.
Если вы покупаете жирное мясо, обратите внимание на цвет и консистенцию жира. Признаки качества — белый цвет (у баранины — кремовый), склонность образованию крошек (бараний жир более плотный), отсутствие неприятного запаха.
Вывод понятен — только разумные меры предосторожности и заранее полученные знания помогут вам избежать неприятных последствий потребления мяса. Отнеситесь ответственно к выбору мясных продуктов, не поленитесь обойти несколько магазинов — и ваши усилия будут вознаграждены вкусной трапезой и отличным настроением вашего семейства.
(Фото: Kayros Studio "Be Happy!", Fedor Kondratenko, Marc van Vuren,marco mayer, D. Kucharski & K. Kucharska,
shutterstock.com)