Вот уже вторую неделю я на больничном.
4 дня я отболела как положено, а потом понеслось. Мне почему-то вспомнилось как я была на декрете дома.
Сколько я всего готовила и как блестела квартира.
И вот что-то началось, стала мыть убирать, драить и готовить. Дома пахло пирогами и зеркала блестели своим серебром.
Но вот наступил 4 день и я опомнилась. Нельзя возвращать семью в то сказочное время, когда всё по дому делала мама!
Муж...
Читать далее»
Германия
Новогоднее ЧП в Кельне: 5 фактов о том, как это было
Ограбления и сексуальные домогательства - вот итог новогодней ночи в центре Кельна. Масштаб преступлений проясняется только сейчас.
Жертвы преступлений - женщины
На площади перед вокзалом и собором в Кельне горожане традиционно встречали Новый год петардами и фейерверком. По данным полиции, в толпу празднующих затесалась группа численностью около 1000 молодых людей, которые выделялись неадекватным поведением...
Читать далее»
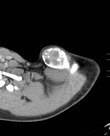
Позавчера поехали на разговор передоперационный.
Должны были принть в 10.00, а попали к врачу только в 15.00.
Я за вермя ожидания успела дочитать книгу и измаяться, ходя по больнице туда сюда.
Потом нам сообщили новость, что операция переносится.
Пришли результаты анализа пробы опухоли из Берлина.
Берлинска лаборатория говорит, что это и не опухоль вовсе, а киста.
А значит операция должна пройти совсем по- другому...
Читать далее»
Покажу вам кусочек нашей прогулки по соеднему городку.
Я живу рядом с красивейшими местами Германии. Немецкая горно-винная дорога проходит через
наш Дармштадт. Если ехать по ней южнее, то можно увидеть просто сказочные красоты.
Вот мы на выходные собрались и поехали в соседний город Бенсхайм.
Я как будто бы оказалась в сказке Гримм. Немецкие фахверковые домики со своими красивыми крышами.
По городу протекает ручей, через который проложены стариные каменные мосты...
Читать далее»
Ну что, толстожопики, встретили 2016? (это я любя)
Ну что весы показывают у вас?
У меня сегодня было ровно 100! Я юбилярша!
Зато считать в минус легче будет и как же буду радоваться двухзначному числу,
когда один день посижу на кефире.
Но не буду я сидеть на кефире, когда весь интернет и даже телевизор пестрит красивыми дядями и тётяями, которые за небольшую плату предлагают тебе планы питания, упражнения и обещают, что через год ты станешь стройной газелью...
Читать далее»

Хорошо быть худой и счастливой. И плохо быть толстой и несчастной. И уж совсем никуда не годится, когда ты из худой и счастливой вдруг превращаешься в толстую и несчастную. Сьюзен Сассман тонко, смешно и увлекательно описывает революцию, свершившуюся в одной, отдельно взятой женщине.
`На диете` - роман о женщинах, еде и любви.
У Барбары Аверс любящий муж и двое милых детей, она красива, стройна, у нее есть интересная работа - но счастлива ли она, или ее жизнь - сплошная ложь...
Читать далее»

Вот знаете, я всю жизнь мечтала быть биологом-генетиком.
Хотела сидеть в лаборатории, выращивать мышек с набором генов, как хочется того мне.
да, я знаю, что не человеческое это дело, а дело великого и могучего Бога.
Чтобы раставить точки над ИИИ хочу сразу сказать, что мой Бог это энергия всех людей живущих на планете и 81 химических элементов, которые соединив друг с другом свои полюса, создали нас...
Читать далее»

Вот знаете, я уже боюсь когда у меня всё хорошо.
Потому что после хорошо идёт обычно какая-нибудь дрянь.
Не хотелось писать, но надо проговорить мои заботы, потом легче.
Начну;
В феврале дочь начинает жаловаться на боль в плече после занятий бадбинтоном в школе.
Пошли к ортопеду. Пощупал, посмотрел. Сказал, что скорее всего потянула плечо при взмахах.
Выписал ей обезбаливающее и мазь. Через какое-то время стало получше, но иногда появляалсь острая боль при работе рукой...
Читать далее»
Похвастаюсь
причёской.
Долго думала и решила срезать свои сухие кончики. Ломаются, не укладываются.
И заодно покрасила корни.
Так было
так стало
Ну и раз уж хвастаю, то порадую вас ещё и тем, что у меня появилась машина.
Купила уже 2 недели назад.
Тайота Ярис. Синенькую взяла. Зовут мой автомобильчик " Ярик"..
Теперь я мобильная.
сдается 2 комнатная квартира на Планерной
жилая площадь 17 и13
кухня 12,
3 минуты от метро,
комнаты изолированные, холодильник, стиральная машина, плита, телевизор, интернет
89035500666 Зифа
45000 в месяц.
100% депозит собственник
Цель - похудеть к 1 августа на 4 кг (63 кг)! Осталось 3.1 кг)
15 часов назад