
Вот знаете, я уже боюсь когда у меня всё хорошо.
Потому что после хорошо идёт обычно какая-нибудь дрянь.
Не хотелось писать, но надо проговорить мои заботы, потом легче.
Начну;
В феврале дочь начинает жаловаться на боль в плече после занятий бадбинтоном в школе.
Пошли к ортопеду. Пощупал, посмотрел. Сказал, что скорее всего потянула плечо при взмахах.
Выписал ей обезбаливающее и мазь. Через какое-то время стало получше, но иногда появляалсь острая боль при работе рукой.
Пошли ещё раз, опять прощупывания, таблетки.
Так протянули. Боль не проходила и не проходила.
Пошла она снова к врачу и тогда он, разведя руками направил её на МРТ.
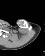
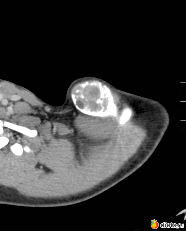
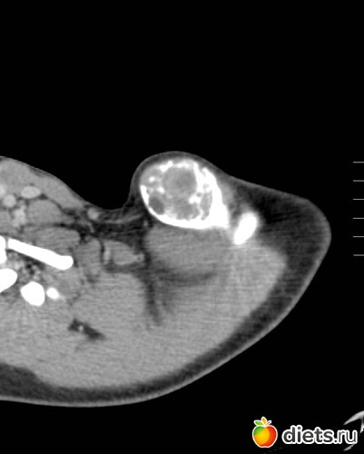
На МРТ врач обнаружил огромную кисту в области ключицы. Киста разрослась настолько, что косточка в ключице была вынуждена выгибаться как может.
День после того как обнаружили кисту, ей надо было ехать с классом на итальянский остров Джилио на неделю. Там они должны были изучать жизнь мрских микроорганизмов и прочей фауны.
Врач дал добро и сказал что ничего не должно произойти.
Но как вы уже поняли, оно произошло. На второй день прибытия на остров.
При погружении в воду с кислородными балонами у неё хрустнуло в ключице.
Оказался перелом косточки. Представляете, да?
Я тут в Германии, она где-то в Средиземном море. Позвонил еёё учитель и заверил, что всё будет хорошо. Они сплавали на материк в клинику, где ей оказали нужную помощь. Никакого гипса. Зафиксировали повреждённый участок и всё.
Сегодня мы были в клинике уже у нас в Германии и
расматривая снимки МРТ врач ушла посоветоваться с главным хрургом.
Потом она ушла посоветоваться с радиологами.
Тянуть не буду с результами. Вообщем есть подозрение что это опухоль.
Злокачественная она или нет, пока не могут сказать. В любом случае её будут полностью удалять, вместе с частью сломанной косточки.
Операцию назначили на 30 октября. А до этого живи в неведении.
Но результаты крови перед поездкой на море были в норме и маркеры на рак были в норме.
это задание жизни?
Наладить отношения и стать ближе с ней? Потому что в последнее время отношения зашли в тупик.
Каждая считала себя правой по каким-то своим убеждениям.
И сегодня вот она ещё и рассказала что влюбилась.
Но почему-то ещё не понятно как относится он к ней.
Бедная моя девочка, столько переживаний выпало ей.
И мне на всём этом фоне не очень хорошо. А 30 октября ещё так далеко.
Сижу и реву...
Здоровья дочке !!! Пусть операция пройдёт успешно
А вы думайте только о хорошем !!!
Вроде выходит что киста. Надеюсь удалят, почистят и всё обойдётся.
Нервы прям сдали.
Молитесь
Я врач или они?
Замечательно оперируют, хорошо лечат. Но диагностика тут в ужасном состоянии.
АААА...сердце рвётся
Пережила нечто похожее с мужем- киста челюсти под восьми зубами. Тоже подозрения, три недели ждали анализы, будто три года. Но все обошлось. И у вас все обойдется. Подозрения- не диагноз. Хотя понимаю, что никакие слова сейчас вас не успокоят.
а любовь-морковь, эх! у нее еще все впереди!
Вы правы , с диагностикой тут никудышная....жду термин 3 недели к ортопеду, боль адская. ...
Будьте ближе и нежнее друг к другу с дочерью.
С мальчиком дело второе. Еще успеет разобраться. Тем более если мальчик узнал о каких-то ее проблемах, то это не удивительно, что он сбежал. Сколько ей, кстати, лет?
Операцию пусть делают. Как раз в Германии врачи очень хорошие. У нас когда какие-то серьезные проблемы, то всегда направляют на операции именно в Германию. Сейчас одной из моих здешних подруг будут лечить опухоль в глазу в Эссене. 350 км отсюда, но что поделаешь. Удалить эту опухоль ей не могут, т.к. она сильно разрослась. Неделю назад она сдала там анализы на гистологию и в зависимости от диагноза будет проходить химиотерапию. Если злокачественная - то сильнее, если доброкачественная - то более щадящую. 2го ноября начнет. А ей еще и 40 лет нет. Но всё равно мы все надеемся на лучшее.
А у дочки организм молодой, выносливый. Восстановится быстро. Сейчас старайся ее больше мотивировать на позитив. И если у тебя были с ней какие-то трения, очень сильно сразу не начинай с ней возиться. А то она точно подумает, что всё очень плохо и от нее что-то скрывают.
Удачи тебе, сил и положительных результатов анализа. Держи нас в курсе. И не нужно плакать
Ей 18 лет.
Сегодня я собралась духом и всё идёт дальше. Будет операция и всё сделают.
Профессор оперирующий очень классный дядька. Я думаю, что всё будет хорошо.
Плохое у меня уже было.
Сейчас это произойдет и у вас. Возможно эта болезнь и была дана вам как испытание от Вселенной, чтобы вы обе пересмотрели своё отношение друг к другу, поняли: что именно важно в этой жизни, а что - мелочь, суета.
Я тебе этого от чистого сердца желаю!
Сил вам всем.
А то, что мальчик так себя повёл, благодарите Бога, значит он далёк от совершенства... Бог отводит его от вашей девочки. Встретит достойного.
Хороший наш ещё где-то ходит )
Забила себя работой по дому. Так лучше переносится всё.
Скорейшего выздоровления!