Доска объявлений
Клубы
Фитнес-клубы
Пищевые добавки
Тесты!
Витамины
Микроэлементы
Клубы
Каталог организаций:
Салоны красоты
Фитнес-клубы
Справочники:
Калорийность продуктов
Пищевые добавки
Тесты!
Витамины
Микроэлементы







У меня в этом списке (но только для меня лично. Список щадящий, т.к. кормлю) - фенистил капли. Дозировка у меня взрослая, Вам не подскажу.
Т.е. я б еще что-то внутрь добавила.
А так у меня тоже - адвантан крем и бепантен крем.
И еще болтушка (циндол) - это тоже наружно, на кожу.
Но я боюсь советовать, все же не специалист. Лучше к доктору.
Поправляйтесь скорее!
Да, дерматолог прописывает еще строгую диету. Если малышка ест у вас, кроме груди, только баночки, то ничего, наверное. Разве что фрукты убрать. А Вам, если кормите, очень строго, пока не поправитесь. Как при начале ГВ советуют.
Зачем кожу подсушивать? Ходите чаще голопопыми. И еще вариант-это может быть аллергия.
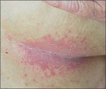
Вот так он выглядит
Может быть и вам он поможет. Скорейшего выздоровления!
да срочно по врачам! сходите к дерматологу, аллергологу, эндокринологу
адвантан это гормональный крем, если уж он не помог, то я не знаю....
Столько разных мнений.мне врач обратное говорил)))
А вообще лучше к врачу идти,а не интернет лечением заниматься)))
да ..элоком...это гармоны...поэтому советую проконсультироваться...
Посоветуйтесь с другими врачами, а не только с вашим педиатором.
Скорейшего выздоровления вашей симпатичной кукляшке!